你以為只是刷牙流血、口氣不好?
其實,這很可能不是小問題,而是——
👉 牙周病的開始
更重要的是:
👉 牙周病不只是口腔問題
👉 而是一種「全身慢性發炎」
牙周病是什麼?為什麼不能忽視?
研究發現:
✔ 牙周病 → 心血管疾病風險上升
✔ 發炎 → 血管內皮受損 → 動脈硬化
✔ 糖尿病與牙周病互相惡化
✔ 增加失智風險
✔ 孕婦牙周問題 → 早產風險提高
👉 核心結論:
牙周病 = 全身健康警報器
牙周病是怎麼開始的?

很多人不知道,其實過程非常快👇
第一階段:牙菌斑(24小時內形成)
牙菌斑 = 細菌膜
只要:
沒有使用牙線
清潔不到牙縫
👉 細菌一天內就開始爆發
第二階段:牙結石(7–14天)
牙菌斑遇到唾液中的鈣:
👉 變硬 → 牙結石
❗ 一旦形成:
👉 刷牙也清不掉
👉 必須靠洗牙
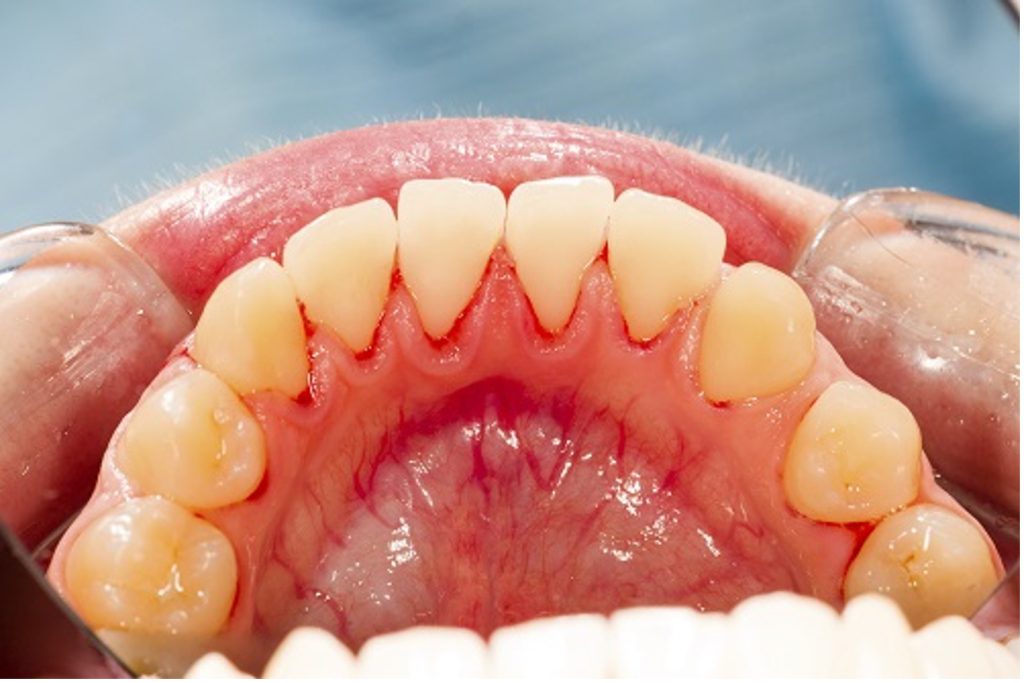
第三階段:牙齦炎
症狀開始出現:
刷牙流血
牙齦紅腫
口臭
👉 這時還「可逆」
第四階段:牙周炎
開始破壞結構:
牙齦萎縮
牙齒變長
咀嚼疼痛
牙齒鬆動
第五階段:牙齒脫落(最終)
👉 長期未處理
👉 牙齒會自己掉
牙周病有哪些症狀?
如果你有以下任一項:
刷牙流血
牙齦紅腫
口臭加重
牙齦萎縮
牙縫變大
吃東西卡牙
牙齒鬆動
👉 就要提高警覺
牙齒不好,該怎麼從飲食改善?
這才是很多人忽略的關鍵👇
7大護牙食物
1️⃣ 深綠色蔬菜
(菠菜、青江菜)
👉 富含維生素C
👉 幫助牙齦修復
2️⃣ 乳製品
(牛奶、優格、起司)
👉 高鈣 + 蛋白質
👉 幫助牙齒再礦化
3️⃣ 堅果
(杏仁、核桃)
👉 含磷 + 健康脂肪
👉 保護牙齒結構
4️⃣ 鮭魚、鯖魚
👉 Omega-3 抗發炎
👉 降低牙周發炎
5️⃣ 維生素C水果
(奇異果、芭樂)
👉 維持牙齦膠原蛋白
6️⃣ 綠茶
👉 抑制口腔細菌
7️⃣ 高纖蔬果
(蘋果、紅蘿蔔)
👉 增加咀嚼 → 清潔牙齒
6大護牙關鍵營養(比食物更精準)
如果你想「真正改善牙齦狀態」
👉 這一段非常重要
1️⃣ 維生素C
👉 修復牙齦
缺乏會:
容易流血
牙齦脆弱
2️⃣ 維生素D3 + 鈣
👉 強化牙齒結構
提升鈣吸收
增加牙齒硬度
3️⃣ 維生素K2
👉 把鈣「導到正確位置」
👉 避免鈣沉積在血管
4️⃣ 膠原蛋白
👉 牙齦本體結構
5️⃣ 益生菌
👉 平衡口腔菌叢
6️⃣ CoQ10
👉 抗發炎 + 修復牙齦
👉 臨床研究:可降低牙齦發炎指數
👉 關鍵結論:牙齒健康的核心其實是「鈣利用率」
很多人補鈣沒效果,是因為:
❌ 沒有維生素D3
❌ 沒有維生素K2
👉 鈣根本沒有進入牙齒
🔥 推薦關鍵補充

為什麼這款值得選?
它不是單純補鈣,而是「完整牙齒系統」
✔ D3 + K2 + 海藻鈣 三合一
👉 D3:幫助吸收
👉 K2:導入牙齒
👉 鈣:建立結構
👉 這才是:
真正有效的補鈣邏輯
誰特別需要補充?
牙齦容易流血
牙齒敏感
有牙周病
年紀增加
懷孕或更年期
不常曬太陽
FAQ 常見問題
Q1:刷牙流血一定是牙周病嗎?
👉 不一定,但「很可能是初期牙齦炎」
👉 不能忽視
Q2:牙周病會自己好嗎?
👉 不會
👉 只會惡化
Q3:補鈣真的能改善牙齒嗎?
👉 可以,但要搭配:
👉 D3 + K2 才有效
Q4:多久會有感?
2–4週:牙齦出血減少
1–2個月:穩定改善
Q5:可以只靠刷牙改善嗎?
👉 不行
👉 必須搭配:
飲食
營養
清潔
最後結論
牙周病不是突然發生,而是:
👉 每天累積的結果
你可以選擇:
❌ 等到牙齒鬆動才後悔
或
✅ 現在就開始調整
📌 最簡單的開始方式
👉 先把「鈣利用機制」建立起來
👉 點這裡了解
👉維生素D鈣K 防護膠囊
當你開始補對營養
牙齒的狀態,會比你想像中改變得更快。

